tihonov.by

Наверх
Меню Закрыть
Телефоны Закрыть

г. Минск
ул. Острошицкая, 7-26
м. Уручье

+375 44 530-97-47
dr.tihonov2021@gmail.com

Пн-пт: 10:00 - 21:00

Задавайте вопросы:

Консультация доктора
Консультация доктора бесплатно

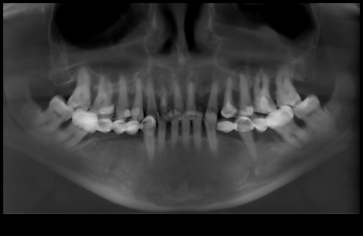
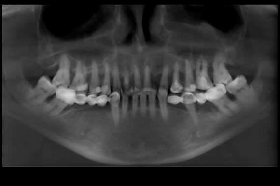
Кейс №1 - Установка несъемных протезов на обе челюсти за 5 дней

02 Сентября 2020 Имплантация зубов по методике All-on-6

Проблема

Пациентка обратилась с жалобами на неэстетичные металлокерамические коронки, которые уже менялись неоднократно, на подвижность зубов верхней и нижней челюсти.

Решение

Изучив данные 3D-исследования, которые пациентка прислала через интернет, доктор предложил провести протезирование верхней и нижней челюстей в кратчайшие сроки при помощи методики All-on-6 (все на 6-ти). Во время операции были удалены старые протезы, оставшиеся зубы, установлены 6 имплантатов на верхней и 6 имплантатов на нижних челюстях, и за 5 дней были изготовлены и фиксированы несъемные эстетичные протезы на обеих челюстях.

Пациентка осталась очень довольна результатом.

Еще примеры работ

Андрей Петрович Тихонов

Андрей Петрович Тихонов

Первая квалификационная категория

“Клиенты остаются довольны моей работой, убедитесь сами”

4.97

Я проконсультирую Вас бесплатно

Оставьте свои контакты, и мы свяжемся с вами для согласования даты и времени консультации

?

Вы можете прикрепить снимок зубов и доктор сможет дать более точную консультацию.

Как переслать свой снимок или КТ