tihonov.by

Наверх
Меню Закрыть
Телефоны Закрыть

г. Минск
ул. Острошицкая, 7-26
м. Уручье

+375 44 530-97-47
dr.tihonov2021@gmail.com

Пн-пт: 10:00 - 21:00

Задавайте вопросы:

Консультация доктора
Консультация доктора бесплатно

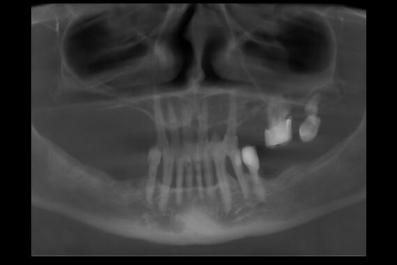
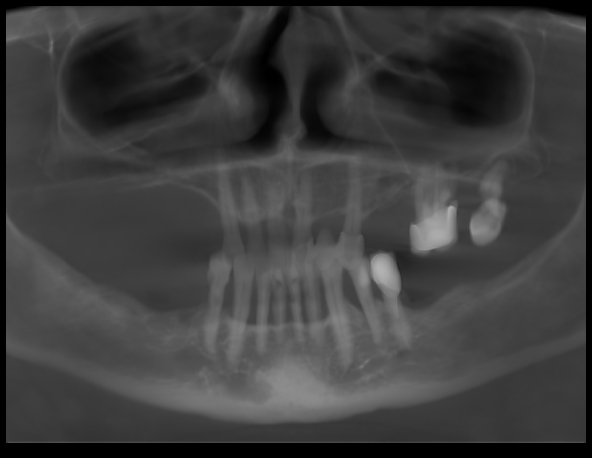
Кейс №2 - Протезирование верхней и нижней челюсти по технологии All-on-4/6

02 Сентября 2020 Методика All-on-6

Проблема

Пациентка обратилась с жалобами на отсутствие жевательных зубов на обеих челюстях и на подвижность оставшихся передних зубов, из-за чего начались проблемы с желудком вследствие невозможности качественно пережевывать пищу.

Решение

При изучении данных 3D-исследования, был выявлен недостаток высоты и толщины костной ткани на обеих челюстях. В связи с этим пациентке был предложен вариант быстрого и эффективного восстановления зубов на верхней и на нижней челюстях с использованием методики All-on-6 (все на 6-ти): были удалены оставшиеся зубы, установлены 6 имплантатов на верхней и 6 имплантатов на нижней челюстях, в течение 5 дней изготовлены и зафиксированы в полости рта несъемные эстетичные и функциональные протезы на обе челюсти. Таким образом, пациентка обзавелась красивой улыбкой за 5 дней.

Другие работы

Андрей Петрович Тихонов

Андрей Петрович Тихонов

Первая квалификационная категория

“Клиенты остаются довольны моей работой, убедитесь сами”

4.97

Я проконсультирую Вас бесплатно

Оставьте свои контакты, и мы свяжемся с вами для согласования даты и времени консультации

?

Вы можете прикрепить снимок зубов и доктор сможет дать более точную консультацию.

Как переслать свой снимок или КТ