tihonov.by

Наверх
Меню Закрыть
Телефоны Закрыть

г. Минск
ул. Острошицкая, 7-26
м. Уручье

+375 44 530-97-47
dr.tihonov2021@gmail.com

Пн-пт: 10:00 - 21:00

Задавайте вопросы:

Консультация доктора
Консультация доктора бесплатно

Кейс №4 - Протезирование верхней челюсти All-on-6

02 Сентября 2020 Протезивароние All-on-6

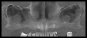
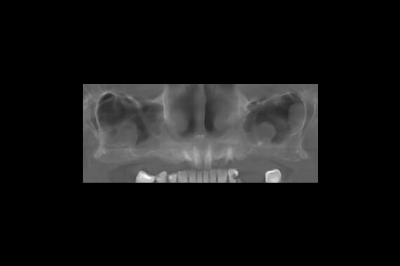
Проблема

Пациентка обратилась с жалобами на отсутствие жевательных зубов, выпадение старых металлокерамических коронок на верхней челюсти, на невозможность качественно пережевывать пищу. Также пациентка сообщила, что ей уже предлагали всевозможные планы реабилитации с наращиванием костной ткани, что её совершенно не устраивало как по стоимости, так и по длительности самого лечения.

Решение

После предварительной консультации путем изучения данных 3D-исследования челюстей, которые пациентка отправила нам через сайт, был предложен план реабилитации верхней челюсти с использованием прогрессивной методики протезирования All-on-6 (все на 6-ти), который пациентка охотно одобрила.

В процессе проведения операции на верхней челюсти были удалены оставшиеся разрушенные корни зубов, одномоментно установлены 6 имплантатов и на 5-й день зафиксирован в полости рта функциональный и эстетичный металлопластмассовый протез. Таким образом, удалось обойтись без дорогостоящих длительных процедур наращивания костной ткани и подарить пациентке красивую улыбку всего за 5 дней.

Другие работы

Андрей Петрович Тихонов

Андрей Петрович Тихонов

Первая квалификационная категория

“Клиенты остаются довольны моей работой, убедитесь сами”

4.97

Я проконсультирую Вас бесплатно

Оставьте свои контакты, и мы свяжемся с вами для согласования даты и времени консультации

?

Вы можете прикрепить снимок зубов и доктор сможет дать более точную консультацию.

Как переслать свой снимок или КТ