tihonov.by

Наверх
Меню Закрыть
Телефоны Закрыть

г. Минск
ул. Острошицкая, 7-26
м. Уручье

+375 44 530-97-47
dr.tihonov2021@gmail.com

Пн-пт: 10:00 - 21:00

Задавайте вопросы:

Консультация доктора
Консультация доктора бесплатно

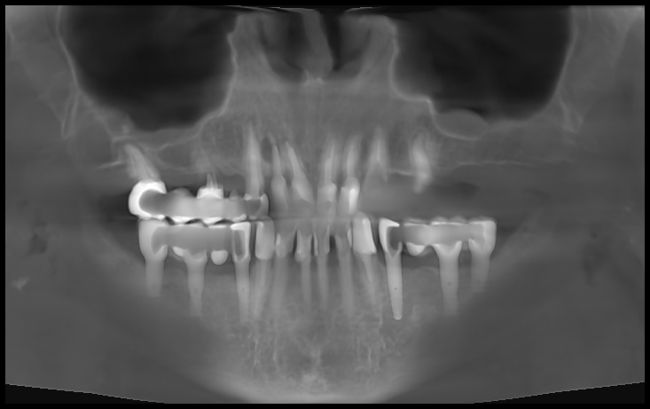
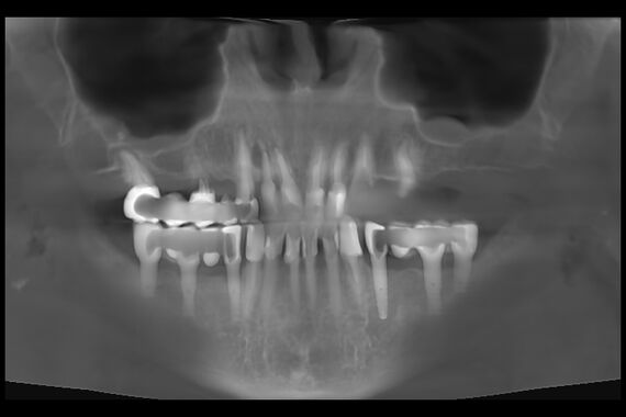
Кейс №5 - Установка 6 имплантов и несъемного протеза за 4 дня

02 Сентября 2020 Установка протеза по методике All-on-6

Проблема

Пациентка обратилась с жалобами на «нехватку» зубов на верхней челюсти, наличие воспалительных процессов и свищей в области старых металлокерамических протезов зубов на верхней челюсти. Пациентка была категорически против любых вариантов лечения, включающих в себя наращивание костной ткани, изучив большое количество информации в интернете.

Решение

На очной консультации после обследования полости рта и изучения данных 3D-исследования челюстей совместно с пациенткой был выработан план реабилитации верхней челюсти с использованием современной и эффективной методики протезирования All-on-6 (все на 6-ти).

Была проведена операция на верхней челюсти, во время которой:

  • удалены несостоятельные металлокерамические протезы зубов,
  • удалены разрушенные корни и все имеющиеся очаги воспаления,
  • установлены 6 имплантатов,
  • в последующие 4 дня изготовлен и зафиксирован несъемный эстетичный и функциональный протез.

Был достигнут отличный результат, что подтверждается красивой улыбкой благодарной пациентки.

Другие работы

Андрей Петрович Тихонов

Андрей Петрович Тихонов

Первая квалификационная категория

“Клиенты остаются довольны моей работой, убедитесь сами”

4.97

Я проконсультирую Вас бесплатно

Оставьте свои контакты, и мы свяжемся с вами для согласования даты и времени консультации

?

Вы можете прикрепить снимок зубов и доктор сможет дать более точную консультацию.

Как переслать свой снимок или КТ